Sonrisa en control: la guía definitiva para tus revisiones dentales
Las revisiones dentales periódicas son una inversión en tu salud y bienestar
Leer másEn Dental Family ofrecemos una atención integral para el cuidado de tu sonrisa. Contamos con especialistas y la mejor tecnología para brindarte el mejor servicio. ¡Tu salud dental en manos expertas!

Periodoncia

Estética Dental

Endodoncia

Implantes Dentales

Cirugía Oral

Odontopediatria
Lorem ipsum dolor sit amet, consectetur adipiscing elit, sed do eiusmod tempor incididunt ut labore et dolore magna aliqua. Ut enim ad minim veniam, quis nostrud exercitation ullamco laboris nisi ut aliquip ex ea commodo consequat.
Duis aute irure dolor in reprehenderit in Ut enim ad minim veniam, quis nostrud exercitation ullamco laboris nisi ut aliquip ex ea commodo




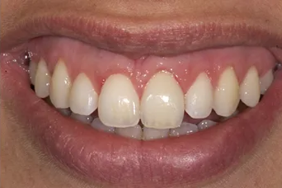
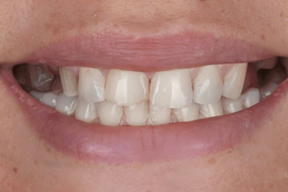
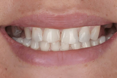
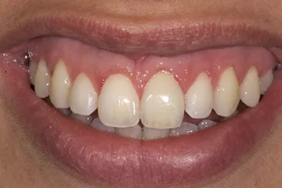
Los resultados hablan por sí solos.
Descubre consejos, novedades y todo lo que necesitas saber para cuidar tu sonrisa